

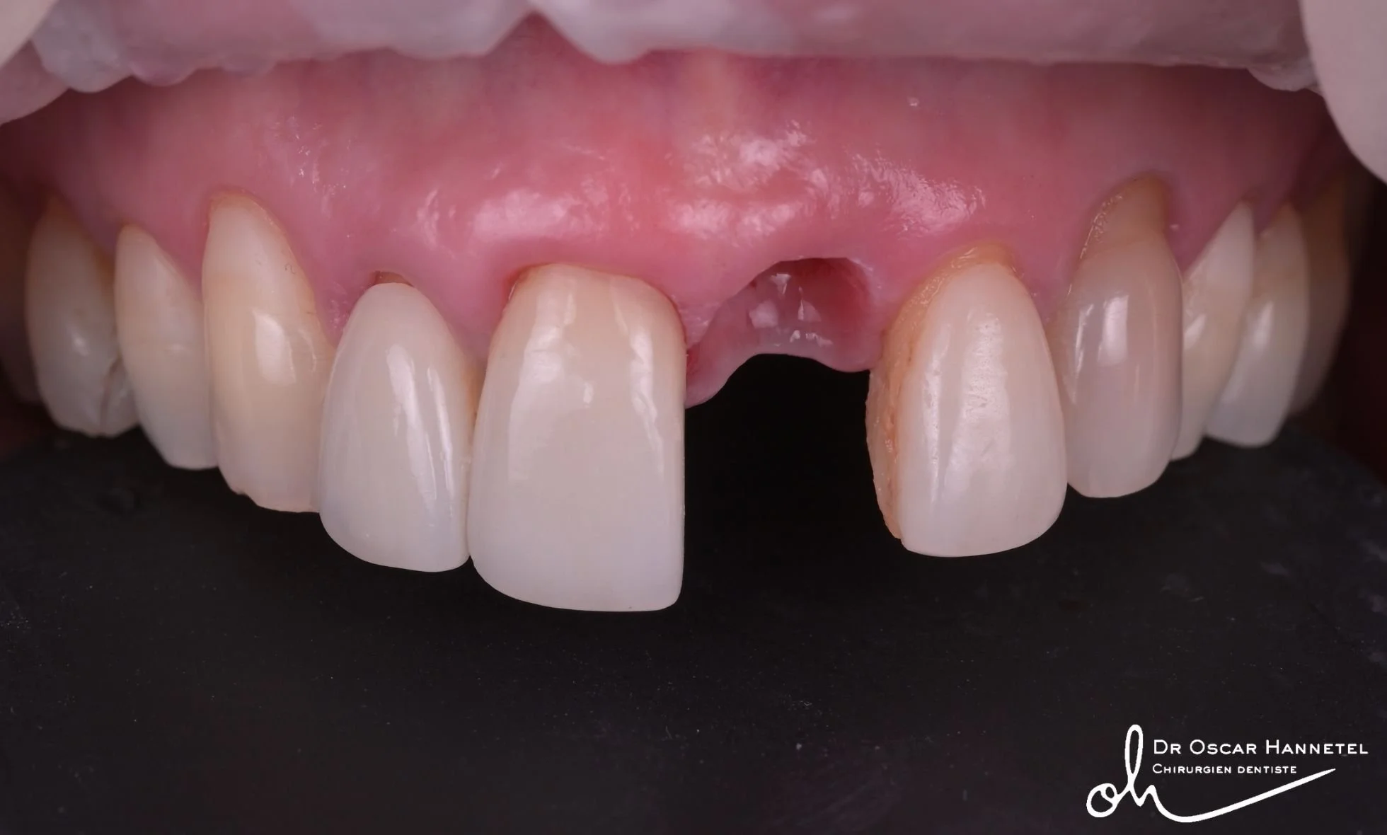
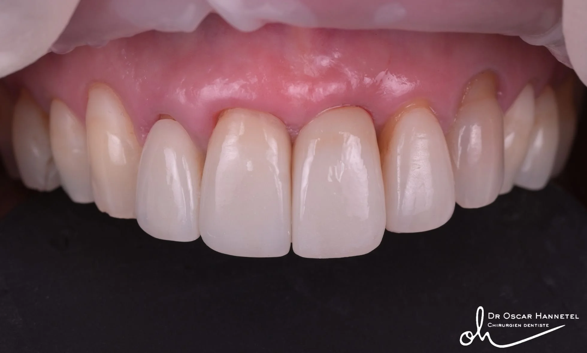
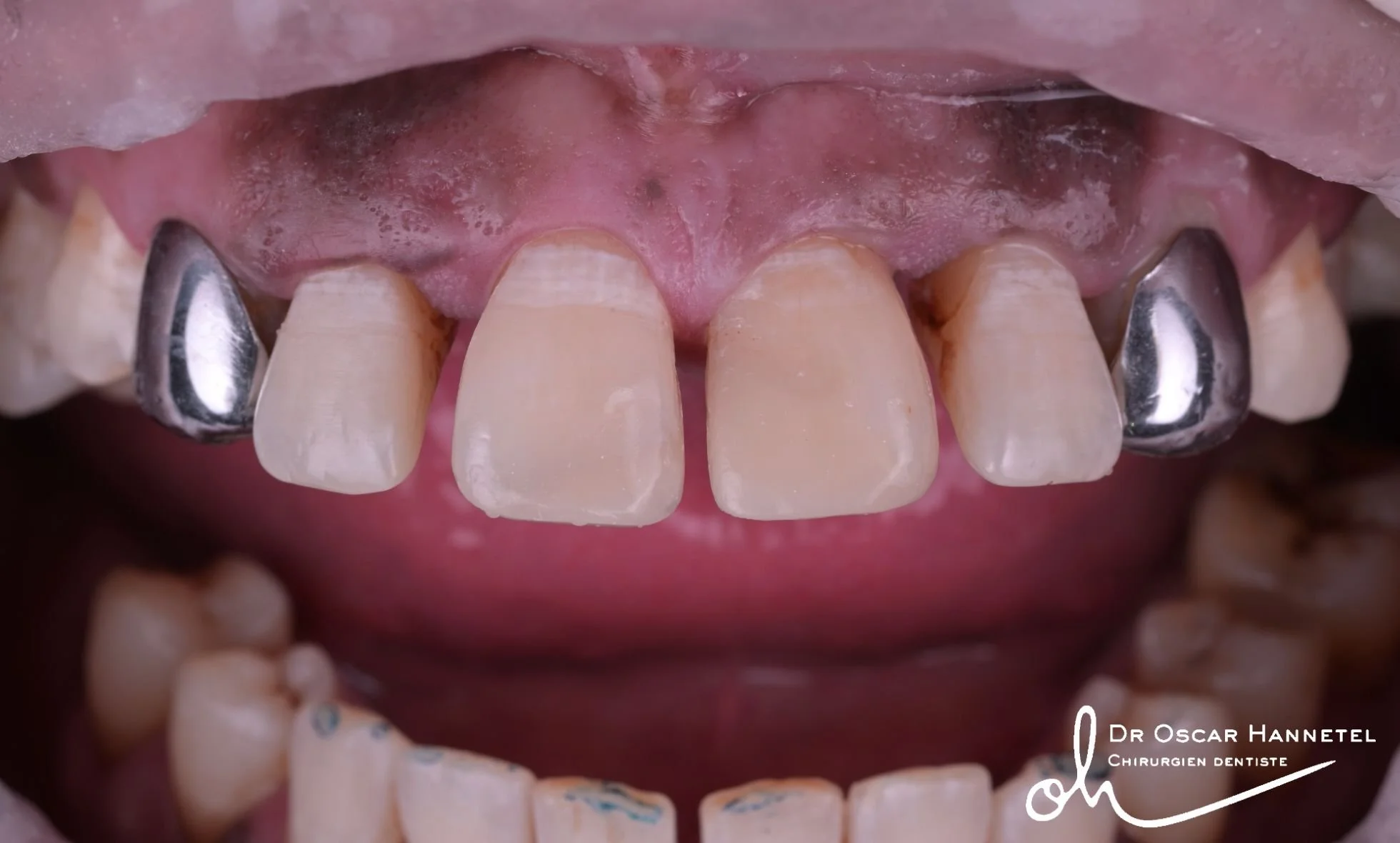
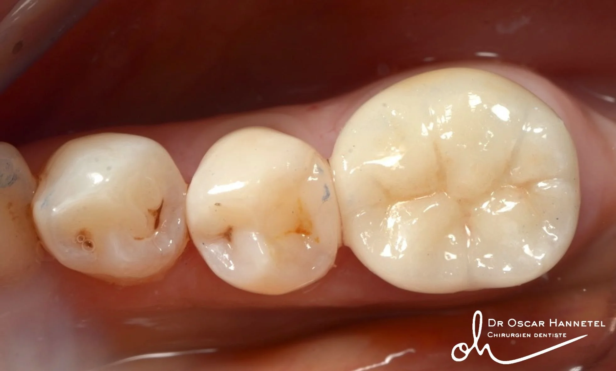
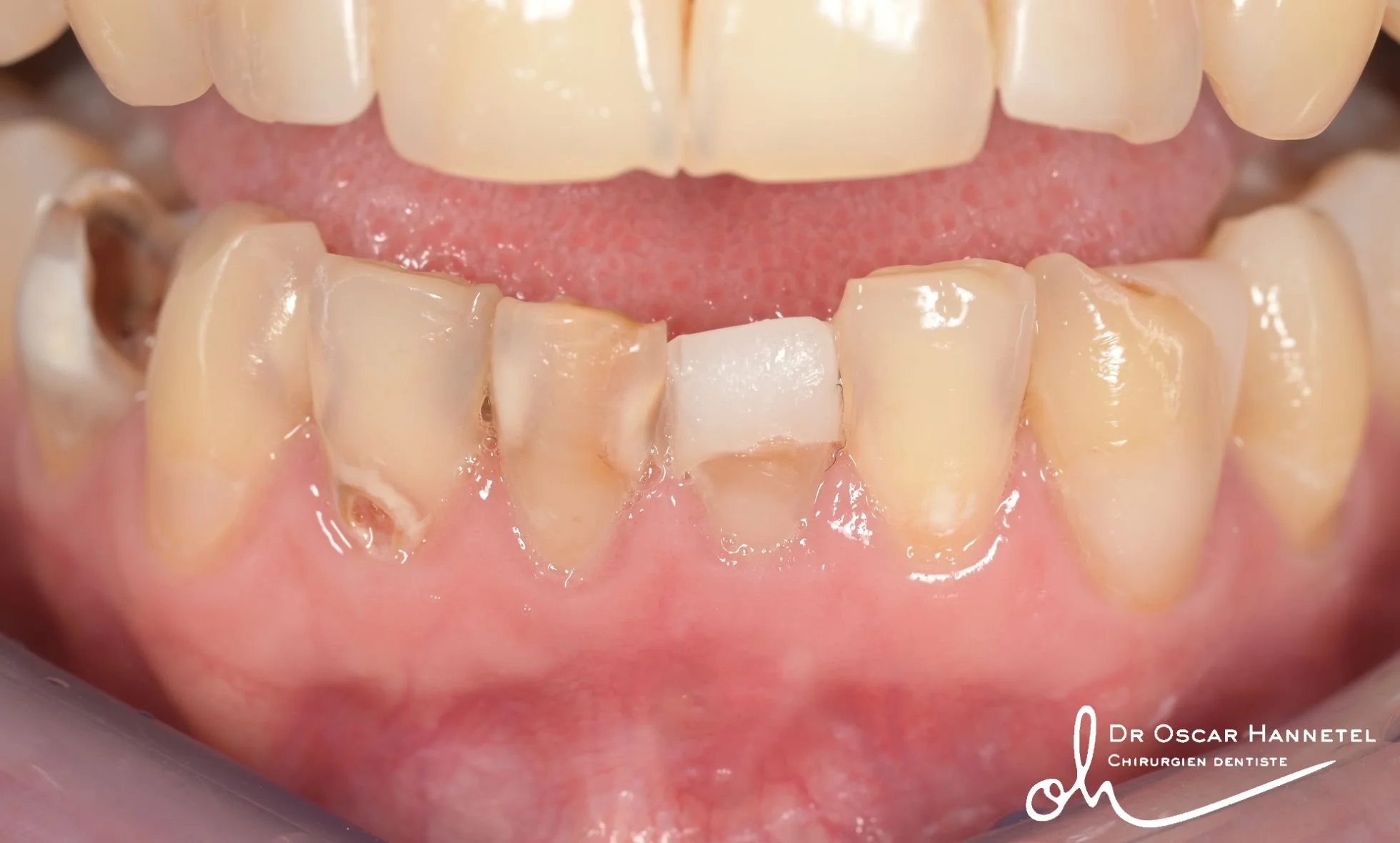
Galerie avant / après
Les photographies du Dr Oscar Hannetel ne sont pas retouchées, à l'exception du recadrage et de l’insertion du logo.
L’ensemble des cas cliniques présentés ont été réalisés en France des artisans céramistes de renom ; Jesus Guerrero, David Hartman et Jérôme Adnin.





























































